A recent find has the entire world googling supernumerary teeth. A young man of 22 in Saudi Arabia had an almost completely developed tooth lodged in his left nostril, and the thing was removed at great length. It has people freaking out: can there be teeth not in your mouth? Can I have a tooth in my nose and not know about it? Here is the deal with supernumerary teeth.
What are they?
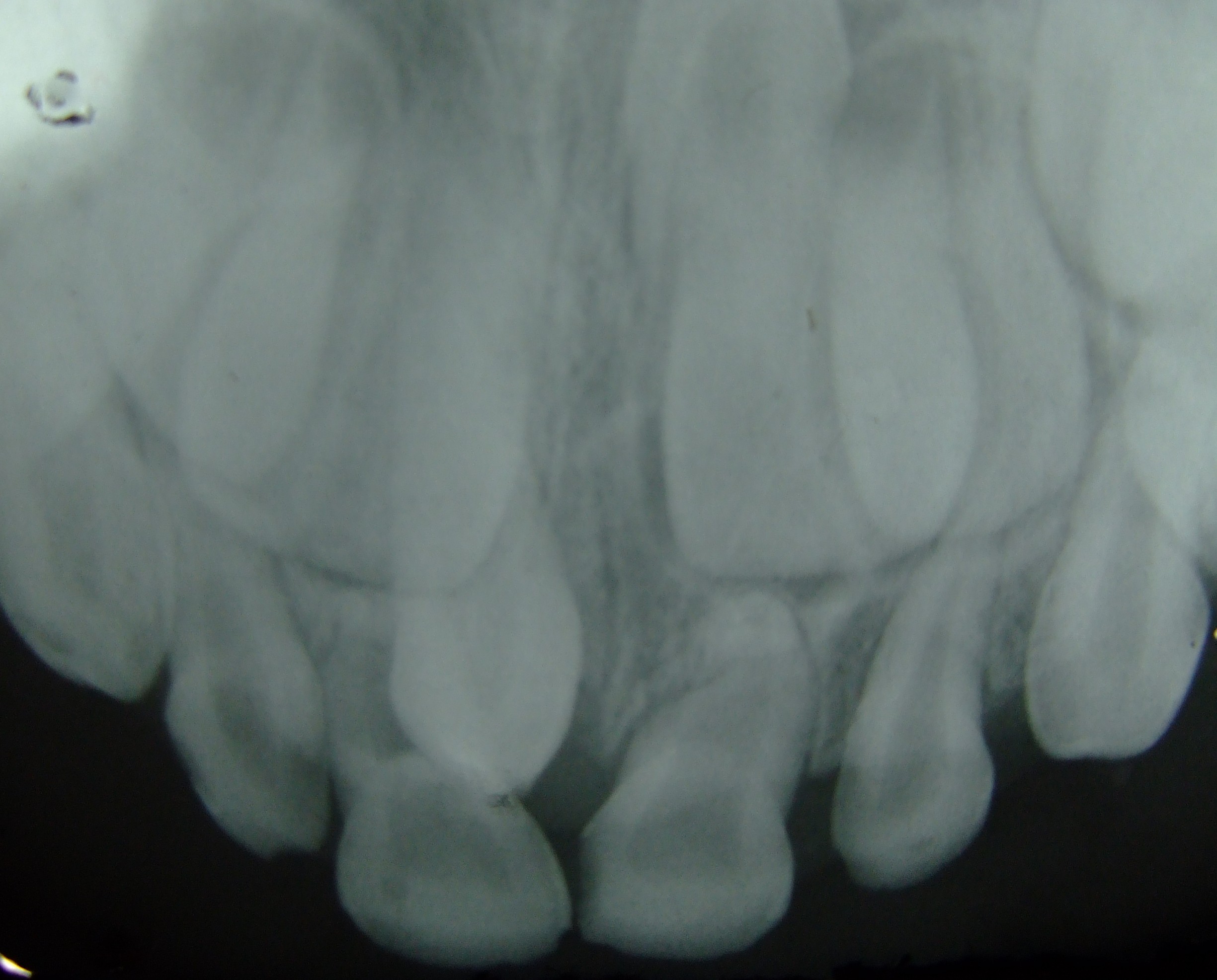
There are 32 slots, you can say, on your alveolus where teeth are expected (by your body) to be. Any teeth besides these 32 are considered supernumerary teeth. They can grow in the strangest of places; the roof of the mouth, above the teeth in rows like sharks, the palate, the bottom of the mouth, and yes, even the nostril. Usually they will stay close to where the other teeth are, and grow in some weird shape or form, often sharing space with other teeth.
Are they bad?
That depends. Sometimes they are absolutely harmless, while other times they need to be removed for the safety of the patient. When there is more than one tooth in a place where there is supposed to be only one tooth, the problem of crowding occurs, causing the teeth to break, the alveolus to get over stretched, and the condition can lead to tooth decay, root canals and periodontitis as well. Sometimes the supernumerary teeth grow in places where it is difficult to clean or take care of. In these cases the tooth is likely to decay and to cause problems. But if you can clean it, it should not cause any problems a slong as the tooth is normally developed, which few supernumerary teeth are. Usually they have no roots, or very short roots, or they have very round cusps and are undifferentiated teeth. If this is the case, get rid of them, they are not doing anyíthing useful, and can potentially be infected at any point in time.

Call
Send
Find us
Connect