“My daughter is sixteen, and she had her braces removed a year and a half ago. We noticed that her teeth become more yellowish near the gums on her upper jaw. Our orthodontist even gave us a hard time about her oral hygiene. We got a retainer after her treatment. I took her to my dentist afterwards, to see if anything could be done to stop or reverse this discoloration. My dentist, who is always extremely helpful, told me much to my surprise that he cannot help us at all, because the child had lost enamel. He also told us that these teeth are much likelier to develop caries, and once they develop them, he can make them whiter, but not before. Am I at fault, did we neglect to do something? How can I whiten her teeth without more serious interventions?
Thank you, B. Andorné”
Dear Miss Andor,
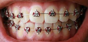
A yellow tooth surface can mean that the tooth surface does not have any enamel left on it, and the cementum or the dentine is exposed, as the cementum is yellowish in color. it may be the case that the enamel did not grow on the tooth in question, but I cannot give a second opinion without seeing the tooth for myself. If that is the case, you should take extra care when you brush your teeth, and use gels or ointments that contain extra fluoride, like elmex at least once a week in order to protect the weaker parts of the teeth, and to protect against the development of caries. We can also make an aesthetic reconstruction from composite tooth filling material, but we need to first check the patients oral condition, our dentists can help you with this.

The other thing that can be happening is that your daughter’s teeth are decaying from the inside, and the decay started during the orthodontic treatment, but stopped with the removal of the braces. If plaque and tartar managed to start living on the teeth in question, the bacteria living in the plaque could have demineralized the teeth. This is the first step towards tooth decay, and the appearance of white or yellowish spots just indicates a lack of enamel where the bacteria have already started messing with the tooth. If this process continues, the dentine will eventually become affected as well.
Once the braces come off, and the tooth surface becomes easy to clean once again, the remineralization process starts again, with the tooth structure becoming flooded with fluoride once again. The enamel that is already absent will not regrow, though, and the cementum will be visible underneath. I suggest treating the area with tooth colored composite filling material.
image: 1.

Call
Send
Find us
Connect