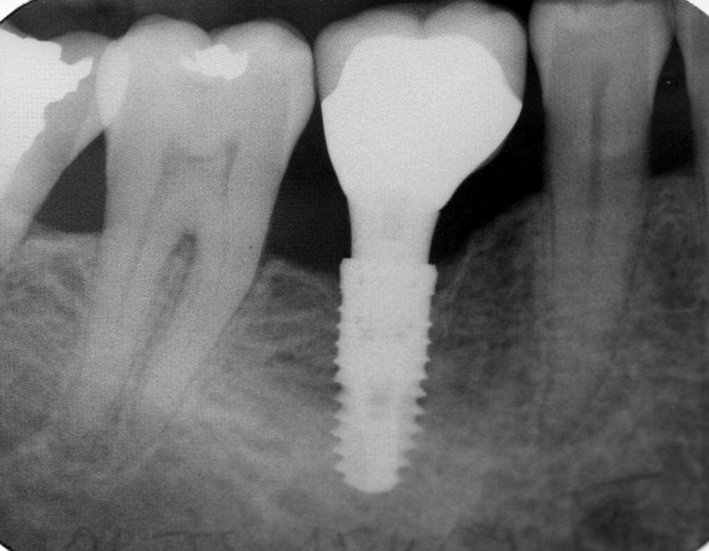
While implantation is an invasive surgery, it is a very quick and painless surgery, especially considering other forms of oral surgery. The dental surgeon will first remove the gum, and set the places s/he intends to place the dental implants. The drilling is done with a special instrument, which can be set to the right pressure, and under local anaesthetic, you will only feel a slight vibration.
The surgical titanium dental implant is slightly larger than the hole made by the drill, this way the dental implant is held fast by the patients bone material. The dental implant is threaded, and can thus be screwed into the jawbone, and this is why ample bone material is necessary, and this is why you may need to have bone augmentation before you get your dental implant.
How long the dental implantation will take depends on the number of dental implants that need to be put in, and what kind of circumstances and conditions the dentist will encounter in your mouth. Sometimes the insertion of a dental implant takes only 10 minutes, other times it can last up to an hour, or sometimes even longer.
After the dental implant has been inserted, the gums will be sewn shut above the dental implant. There will be swelling of the area. which should subside within two to three days, and there should be no pain after the swelling is gone. One week after the surgery, your stitches will be removed, and you may be given a temporary crown as well.
At this point there are no visible portions of the dental implant, so the previous prostheses, such as dentures, bridges and crowns can be worn just as usual.During the following months, the bone will grow on to and through the dental implant itself, and once this process is done, you can book an appointment for an uncovering. During this time, the gum will be peeled back, and a healing screw will be inserted, along with a healing abutment. An impression will be taken of your teeth, and a crown will be made for your in a week or so.
image: 1.

Call
Send
Find us
Connect